Fluor là một khoáng chất quan trọng giúp ngăn ngừa sâu răng, nhưng khi tiếp xúc quá mức, men răng sẽ thay đổi màu sắc và cấu trúc, gây mất thẩm mỹ. Trong bài viết này, hãy cùng nha khoa An Phước tìm hiểu nguyên nhân, cách nhận biết cũng như phương pháp khắc phục răng nhiễm fluor hiệu quả.
Răng nhiễm fluor là gì?
Thế nào là răng nhiễm fluor?
Răng nhiễm fluor (Fluorosis) là tình trạng men răng bị tổn thương do tiếp xúc với lượng fluor vượt mức. Fluor là một chất quan trọng giúp ngăn ngừa sâu răng và tăng cường độ cứng của men răng. Tuy nhiên, khi răng nhận quá nhiều fluor trong giai đoạn răng đang phát triển (thường từ 8 tuổi trở xuống), sẽ dẫn đến sự biến đổi cấu trúc và màu sắc của men răng.

Cách nhận biết răng nhiễm fluor
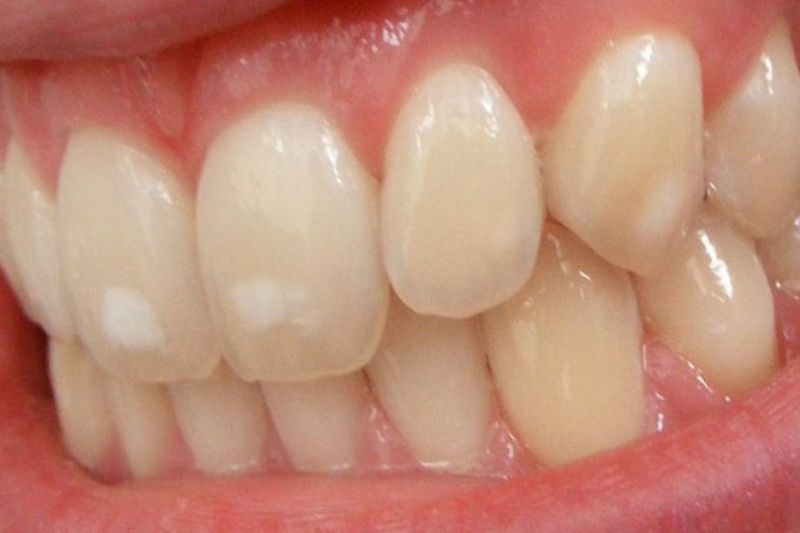
Răng nhiễm fluor thường được chia thành nhiều mức độ khác nhau từ nhẹ đến nặng. Những dấu hiệu phổ biến bao gồm:
- Mức độ nhẹ: Xuất hiện những đốm trắng nhỏ hoặc vùng mờ đục trên răng, khó nhận ra nếu không nhìn kỹ.

- Mức độ trung bình: Các mảng trắng đục xuất hiện rõ hơn, có thể bao phủ toàn bộ bề mặt răng.

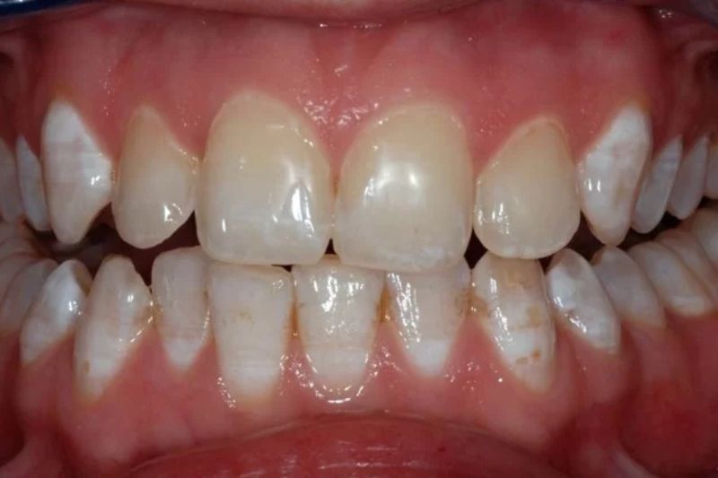
- Mức độ nặng: Bề mặt răng trở nên sần sùi, xuất hiện các vết nâu vàng rõ rệt. Trong một số trường hợp nghiêm trọng, men răng bị yếu đi, dẫn đến dễ mẻ, tổn thương cấu trúc.

Những thay đổi về màu sắc và kết cấu của răng thường không gây đau, nhưng tác động lớn về mặt thẩm mỹ. Nếu không được phát hiện và xử lý kịp thời, tình trạng này có thể khiến người bệnh tự ti trong giao tiếp và sinh hoạt hàng ngày.
Nguyên nhân
Sử dụng thuốc có chứa fluor
Một số loại thuốc bổ sung hoặc thực phẩm chức năng được kê đơn có chứa fluor để ngăn ngừa sâu răng, đặc biệt ở trẻ nhỏ. Tuy nhiên, nếu không được kiểm soát kỹ về liều lượng, việc hấp thụ fluor quá mức có thể làm tăng nguy cơ nhiễm fluor cho răng.
Trẻ em dưới 8 tuổi vì men răng vẫn đang trong giai đoạn hình thành, do vậy nếu sử dụng kéo dài thuốc có chứa flour hoặc không đúng chỉ dẫn có thể gây tích tụ fluor trong men răng, làm xuất hiện các đốm trắng hoặc vết đục.
Nguồn nước chứa nồng độ fluor quá cao
Một số khu vực có nguồn nước tự nhiên hoặc nước máy chứa hàm lượng fluor cao hơn mức khuyến nghị. Dù đây là biện pháp phòng ngừa sâu răng phổ biến, nhưng việc tiếp xúc lâu dài với nước chứa nồng độ fluor quá cao sẽ gây tổn thương men răng.
Tổ chức Y tế Thế giới (WHO) khuyến nghị nồng độ fluor trong nước uống không vượt quá 1 mg/L. Nếu sử dụng nước có mức flour cao hơn khuyến nghị hàng ngày,có thể dẫn đến nguy cơ nhiễm fluor, đặc biệt ở trẻ nhỏ.
Sử dụng kem đánh răng chứa quá nhiều fluor
Kem đánh răng chứa fluor giúp ngăn ngừa sâu răng hiệu quả, nhưng nếu không được sử dụng đúng cách, đặc biệt ở trẻ em, tình trạng nhiễm fluor có thể xảy ra. Ngoài ra, trẻ nhỏ thường có thói quen nuốt kem đánh răng thay vì nhổ ra, khiến lượng fluor hấp thụ vượt mức.
Cách khắc phục răng bị nhiễm fluor
Phương pháp tẩy trắng răng
Tẩy trắng răng là kỹ thuật sử dụng chất làm trắng (thường chứa hydrogen peroxide hoặc carbamide peroxide) để cải thiện màu sắc răng, giúp răng trở nên sáng hơn. Phương pháp này phù hợp với những trường hợp nhiễm fluor nhẹ, khi chỉ có các đốm trắng hoặc vùng mờ đục trên bề mặt răng.

Ưu điểm:
- Cải thiện màu sắc răng nhanh chóng.
- Quy trình thực hiện đơn giản và ít xâm lấn.
Nhược điểm:
- Hiệu quả có thể không lâu dài nếu nhiễm fluor nặng.
- Có thể gây ê buốt răng tạm thời sau khi thực hiện.
Bọc sứ thẩm mỹ
Bọc răng sứ là giải pháp lý tưởng cho những trường hợp nhiễm fluor trung bình đến nặng, khi men răng đã bị tổn thương rõ rệt và có nhiều vết đốm hoặc vết nâu trên bề mặt. Trong quá trình này, răng thật sẽ được mài bớt để gắn mão sứ lên trên, giúp khôi phục tính thẩm mỹ.

Ưu điểm:
- Khắc phục hoàn toàn các khuyết điểm về màu sắc răng.
- Đảm bảo độ bền và tính thẩm mỹ cao.
Nhược điểm:
- Yêu cầu mài răng thật, có thể gây ê buốt.
- Chi phí cao hơn so với các phương pháp khác.
Làm mặt sứ Veneer
Mặt sứ Veneer là một lớp sứ mỏng được dán lên bề mặt răng để che đi các khuyết điểm như vết nhiễm fluor. Đây là phương pháp ít xâm lấn hơn so với bọc sứ vì chỉ cần mài rất ít phần men răng hoặc thậm chí không cần mài trong một số trường hợp.

Ưu điểm:
- Bảo toàn tối đa cấu trúc răng thật.
- Mang lại thẩm mỹ tự nhiên với lớp sứ mỏng và trong suốt.
Nhược điểm:
- Phù hợp chủ yếu với những trường hợp nhiễm fluor nhẹ đến trung bình.
- Độ bền phụ thuộc vào cách chăm sóc và chế độ ăn uống của bệnh nhân.
Lựa chọn phương pháp điều trị phù hợp cho răng nhiễm fluor cần dựa vào mức độ nghiêm trọng và nhu cầu của từng bệnh nhân. Việc tẩy trắng, bọc sứ, hoặc làm mặt sứ veneer không chỉ cải thiện thẩm mỹ mà còn giúp bảo vệ sức khỏe răng miệng lâu dài. Để đạt hiệu quả tối ưu, người bệnh nên tham khảo ý kiến của bác sĩ nha khoa để được tư vấn chọn giải pháp phù hợp nhất.
Phòng ngừa răng nhiễm fluor như thế nào?
Phòng ngừa răng nhiễm fluor đóng vai trò quan trọng trong việc bảo vệ men răng và đảm bảo sự phát triển khỏe mạnh của răng, đặc biệt ở trẻ em trong giai đoạn hình thành răng vĩnh viễn. Fluor là khoáng chất thiết yếu, nhưng nếu không kiểm soát tốt liều lượng, nguy cơ nhiễm fluor sẽ tăng cao. Một số lưu ý để phòng ngừa răng nhiễm fluor:
Kiểm soát lượng fluor trong nước sinh hoạt
Ở nhiều khu vực, nước máy có bổ sung fluor để phòng ngừa sâu răng cho cộng đồng. Tuy nhiên, nếu nồng độ fluor vượt quá ngưỡng an toàn (1 mg/L), nguy cơ răng nhiễm fluor sẽ tăng lên. Do vậy các gia đình có thể sử dụng bộ lọc nước để loại bỏ bớt fluor trong những vùng có nồng độ fluor cao. Bên cạnh đó, thực hiện kiểm tra định kỳ nồng độ fluor trong nước sinh hoạt để kịp thời điều chỉnh nguồn nước nếu cần.
Chọn kem đánh răng phù hợp với từng độ tuổi
Sử dụng kem đánh răng có chứa fluor là cần thiết để ngăn ngừa sâu răng, nhưng cần điều chỉnh đúng liều lượng cho từng độ tuổi, đặc biệt là với trẻ nhỏ, vì nguy cơ nuốt phải kem đánh răng là rất cao.

Tránh lạm dụng các sản phẩm chứa fluor
Ngoài kem đánh răng, các sản phẩm khác như nước súc miệng, viên bổ sung fluor cũng cần được sử dụng đúng cách để tránh nguy cơ quá tải fluor. Không tự ý sử dụng viên uống bổ sung fluor nếu không có chỉ định của bác sĩ. Đối với trẻ em, hạn chế sử dụng nước súc miệng chứa fluor nếu trẻ chưa học cách súc miệng và nhổ đúng cách. Bên cạnh đó, cần theo dõi chế độ ăn uống, đặc biệt với trẻ em, để tránh tiêu thụ đồng thời nhiều nguồn chứa fluor.

Răng nhiễm fluor không chỉ ảnh hưởng đến thẩm mỹ mà còn có thể gây ra những vấn đề về sức khỏe răng miệng nếu không được khắc phục kịp thời. Hiểu rõ nguyên nhân, dấu hiệu và các phương pháp điều trị sẽ giúp bạn chọn lựa giải pháp phù hợp.
Hy vọng với những thông tin mà nha khoa An Phước đã chia sẻ trong bài viết đã giúp bạn có thêm những kiến thức hữu ích trong quá trình chăm sóc sức khỏe răng miệng.








