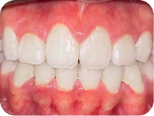
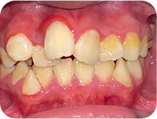
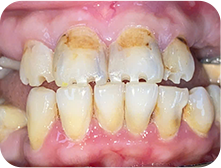
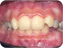
AN TÂM ĐIỀU TRỊ TẠI AN PHƯỚC VỚI 5 QUYỀN LỢI VƯỢT TRỘI
Thăm khám & tư vấn hoàn toàn miễn phí
Khách hàng được kiểm tra tình trạng răng miệng, chụp phim, tư vấn kỹ lưỡng bởi bác sĩ mà không mất bất kỳ chi phí nào.
Không gian điều trị riêng tư, thoải mái
Phòng khám thiết kế hiện đại với từng khu vực điều trị riêng biệt, đảm bảo sự riêng tư và thoải mái cho mỗi khách hàng.
Thanh toán linh hoạt, không áp lực
Hỗ trợ nhiều hình thức thanh toán: tiền mặt, chuyển khoản, quẹt thẻ và trả góp 0% lãi suất.
Xuất hóa đơn nhanh chóng, minh bạch
Dễ dàng cung cấp hóa đơn VAT khi khách hàng có nhu cầu, đảm bảo minh bạch – rõ ràng trong từng dịch vụ.
Bảo lãnh viện phí với PTI
Hợp tác cùng bảo hiểm PTI giúp khách hàng dễ dàng được bảo lãnh chi phí điều trị nhanh chóng, tiện lợi.











