Răng bị đen ở kẽ không chỉ ảnh hưởng đến thẩm mỹ mà còn tiềm ẩn nhiều nguy cơ về sức khỏe răng miệng nếu không được xử lý kịp thời. Tình trạng này có thể do nhiều nguyên nhân như sâu răng, cao răng hay thói quen vệ sinh kém. Bài viết sau nha khoa An Phước sẽ giúp bạn hiểu rõ các phương pháp khắc phục hiệu quả và cách phòng ngừa để duy trì hàm răng luôn khỏe đẹp.
Vì sao răng bị đen ở kẽ?
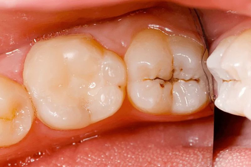
Do sâu răng
Sâu răng là nguyên nhân phổ biến nhất khiến răng bị đen ở kẽ. Khi vi khuẩn trong miệng phân hủy thức ăn thừa, tạo ra axit ăn mòn men răng, đặc biệt ở những vùng khó vệ sinh như kẽ răng. Sự tấn công này dần hình thành lỗ sâu màu đen, gây đau nhức nếu không được điều trị kịp thời.

Cao răng
Cao răng là lớp mảng bám cứng đầu tích tụ quanh răng, nhất là ở kẽ răng. Cao răng thường có màu vàng hoặc nâu, lâu ngày chuyển thành đen. Cao răng không chỉ làm răng mất thẩm mỹ mà còn tạo điều kiện cho vi khuẩn phát triển, dẫn đến viêm nướu và sâu răng.
Vệ sinh răng miệng kém
Thói quen không đánh răng đủ kỹ, không dùng chỉ nha khoa hoặc nước súc miệng khiến thức ăn thừa bám lại ở kẽ răng. Theo thời gian, những mảng bám này sẽ bị vôi hóa, hình thành cao răng và làm răng bị đen.
Di truyền
Yếu tố di truyền cũng có thể ảnh hưởng đến màu sắc và độ chắc khỏe của men răng. Một số người bẩm sinh có men răng yếu hoặc cấu trúc kẽ răng dễ tích tụ mảng bám hơn, dẫn đến nguy cơ bị đen ở kẽ răng cao hơn.
Sử dụng thuốc kháng sinh
Việc sử dụng thuốc kháng sinh tetracycline trong thời kỳ mang thai hoặc ở trẻ nhỏ khi răng đang phát triển có thể làm răng đổi màu. Ở một số trường hợp, răng có thể bị đen ở kẽ do tác dụng phụ của loại thuốc này.

Phương pháp khắc phục răng bị đen ở kẽ
Tẩy trắng răng
Tẩy trắng răng là phương pháp phổ biến, sử dụng các chất làm trắng chuyên dụng kết hợp với đèn chiếu để loại bỏ vết ố, đen trên bề mặt răng. Phương pháp này phù hợp với các trường hợp răng bị đen do nhiễm màu nhẹ ở lớp men ngoài. Tuy nhiên, nếu vết đen xuất phát từ sâu răng hay cao răng, bạn cần xử lý nguyên nhân gốc rễ trước khi tẩy trắng.
Lưu ý:
- Không áp dụng cho răng bị tổn thương nghiêm trọng.
- Cần thực hiện tại cơ sở nha khoa uy tín để đảm bảo an toàn.
Chữa sâu răng
Khi răng bị đen ở kẽ do sâu, bác sĩ sẽ tiến hành điều trị để ngăn chặn tình trạng lây lan và bảo vệ cấu trúc răng. Quá trình này bắt đầu bằng việc làm sạch mô răng bị sâu, loại bỏ phần răng tổn thương. Sau đó, răng sẽ được phục hồi bằng cách trám hoặc bọc sứ tùy theo mức độ nghiêm trọng của sâu răng. Phương pháp này không chỉ giúp răng lấy lại hình dáng mà còn bảo vệ răng khỏi các tác nhân gây hại trong tương lai.
Trám răng
Trám răng là giải pháp lý tưởng cho những trường hợp răng bị đen nhẹ hoặc có lỗ sâu nhỏ. Bác sĩ sử dụng vật liệu trám nha khoa như composite có màu sắc tương đồng với răng thật để lấp đầy các vùng bị tổn thương. Sau khi hoàn tất, răng sẽ được chiếu đèn để làm cứng vật liệu và đánh bóng, đảm bảo tính thẩm mỹ cũng như chức năng nhai.
Xem thêm: Trám răng sâu có bền không? Những câu hỏi thường gặp
Bọc sứ
Đối với những trường hợp răng bị đen nghiêm trọng hoặc cấu trúc răng yếu, bọc sứ là lựa chọn tối ưu. Quy trình này bao gồm việc mài một phần răng thật để tạo trụ, sau đó gắn mão sứ lên trên. Mão sứ không chỉ che phủ hoàn toàn vết đen mà còn tăng cường độ bền, đảm bảo chức năng ăn nhai và mang lại vẻ ngoài tự nhiên. Đây là giải pháp lâu dài với tuổi thọ của răng sứ có thể lên đến 10 – 15 năm nếu được chăm sóc đúng cách.

Xem thêm: Bọc răng sứ cho răng sâu có được không? Một số lưu ý quan trọng
Cạo vôi răng
Nếu răng bị đen do cao răng, cạo vôi răng là phương pháp cần thiết và hiệu quả. Bác sĩ sẽ sử dụng dụng cụ chuyên dụng để làm sạch các mảng bám cứng đầu, đặc biệt ở vùng kẽ răng. Sau đó, răng sẽ được đánh bóng nhằm giảm nguy cơ mảng bám quay trở lại. Việc cạo vôi không chỉ cải thiện thẩm mỹ mà còn giúp ngăn ngừa các vấn đề răng miệng như viêm nướu hay sâu răng.

Xem thêm: Cạo vôi răng có đau không? Nên lưu ý những gì?
Phòng ngừa răng bị đen ở kẽ
Hướng dẫn phòng ngừa răng bị đen ở kẽ:
- Đánh răng đúng cách: Sử dụng bàn chải lông mềm và kem đánh răng chứa fluoride, đánh răng ít nhất 2 lần/ngày. Chú ý vệ sinh kỹ vùng kẽ răng bằng cách chải nhẹ nhàng theo chiều dọc.
- Dùng chỉ nha khoa: Làm sạch thức ăn thừa và mảng bám ở kẽ răng – nơi bàn chải khó tiếp cận.
- Sử dụng nước súc miệng: Nước súc miệng chứa thành phần kháng khuẩn giúp tiêu diệt vi khuẩn, giữ hơi thở thơm tho.

- Hạn chế thực phẩm gây hại: Giảm tiêu thụ đồ ngọt, thức uống có ga, cà phê, rượu vang đỏ vì chúng dễ gây ố và tạo điều kiện cho vi khuẩn phát triển.
- Tăng cường thực phẩm tốt cho răng: Ăn nhiều rau xanh, trái cây giòn như táo, cà rốt để kích thích sản sinh nước bọt, giúp làm sạch răng tự nhiên.
- Đến nha khoa kiểm tra và cạo vôi răng định kỳ 6 tháng/lần để loại bỏ mảng bám, cao răng, phát hiện sớm các vấn đề tiềm ẩn như sâu răng, viêm nướu.

- Không hút thuốc lá, vì nicotine dễ gây ố vàng và đen răng.
- Tránh dùng răng để cắn vật cứng hoặc mở nắp chai, điều này không chỉ làm tổn thương men răng mà còn tạo điều kiện cho vi khuẩn tích tụ ở kẽ răng.
- Cha mẹ cần hướng dẫn trẻ vệ sinh răng miệng đúng cách ngay từ nhỏ. Hạn chế cho trẻ ăn vặt quá nhiều, đặc biệt là đồ ngọt và nước có đường.

Thực hiện đầy đủ các biện pháp trên không chỉ giúp ngăn ngừa tình trạng răng bị đen ở kẽ mà còn duy trì sức khỏe răng miệng toàn diện, đảm bảo nụ cười luôn rạng rỡ.
Khắc phục và phòng ngừa răng bị đen ở kẽ không chỉ cải thiện thẩm mỹ mà còn bảo vệ sức khỏe răng miệng toàn diện. Hãy chăm sóc răng miệng đúng cách, thăm khám định kỳ và lựa chọn phương pháp điều trị phù hợp. Nếu bạn còn bất kỳ thắc mắc nào về các phương pháp khắc phục răng bị đen ở kẽ, đừng ngần ngại liên hệ nha khoa An Phước để được hỗ trợ nhanh chóng.








